Laura Krabill Kheshgi, DMD
Your Trusted Dentist in Princeton, IL

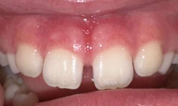
Frenectomy/Lip Release

CO2 Laser using to perform a frenectomy or lip release. The use of CO2 laser allows for treatment to completed very quickly with minimal tissue bleeding. Gingival tissues heal beautifully after laser treatment. 

Have Questions? Get in Touch
If you have difficulty using our website, please email us or call us at (815) 875-6449
View the ADA Accessibility Statement
Privacy Policy