Smile Gallery
Take a look at our Smile Gallery!
Replaced two stained older fillings with new tooth colored fillings that better match the natural teeth.
Crowned 10 teeth on the upper arch to transform the patient's smile and achieve their cosmetic goals!
Minimally invasive, no-drill treatment, to treat white-spot lesions and improve cosmetics of patient's front teeth.
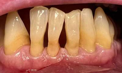
Bioclear composite treatment to get rid of "black triangles" and spaces between lower front teeth. These spaces are common on teeth that have had gum recession and roots exposed.
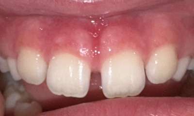
CO2 Laser using to perform a frenectomy or lip release. The use of CO2 laser allows for treatment to completed very quickly with minimal tissue bleeding. Gingival tissues heal beautifully after laser treatment.
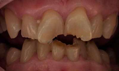
Fractured tooth fixed with a tooth colored composite filling.
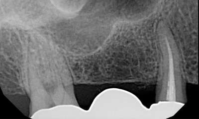
Anchor tooth for the patient's bridge failed and had to be extracted. Patient had two implants placed rather than replacing with a longer-spanning bridge.
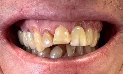
Crowns placed on front teeth to fix worn edges and darkening color of teeth. Crowns created harmony amongst the front teeth and gave the patient a more youthful smile.
Minimally invasive, no-drill treatment, to treat white-spot lesions and improve cosmetics of patient's front 6 teeth.