Laura Krabill Kheshgi, DMD
Your Trusted Dentist in Princeton, IL

Implants

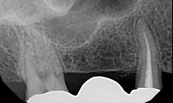
Anchor tooth for the patient's bridge failed and had to be extracted. Patient had two implants placed rather than replacing with a longer-spanning bridge. 

Have Questions? Get in Touch
If you have difficulty using our website, please email us or call us at (815) 875-6449
View the ADA Accessibility Statement
Privacy Policy