Laura Krabill Kheshgi, DMD
Your Trusted Dentist in Princeton, IL
Laura Krabill Kheshgi, DMD
Your Trusted Dentist in Princeton, IL
Request an Appointment
Leave a Google Review
(815) 875-6449
General and Aesthetic Dentistry
Home
About
Our Team
Technology
Practice Photos
Services
View All
General Dentistry
Cosmetic Dentistry
Crowns and Bridges
Fillings
Preventive Dentistry
Family Dentistry
Dental Implants
Dentures and Partials
Teeth Whitening
Veneers
Smile Gallery
Patient Info
View Patient Info
Financial
FAQs
Contact
Laura Krabill Kheshgi, DMD
>
Smile Gallery
>
Implants
Implants
Return to Smile Gallery
Next
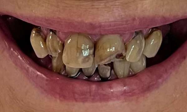
All-on-4 upper and lower implant dentures
Related Services:
Dental Implants
Click image to see a larger picture
Before
After
Ready to Book an Appointment?
Contact Us
If you have difficulty using our website, please
email us
or call us at
(815) 875-6449
View the
ADA Accessibility Statement
Turn on ADA Views
Privacy Policy
OK!
×
×
Contact Us Today
Give Us A Call
Krabill Kheshgi Family Dental -
(815) 875-6449
Send Us an Email
Request an Appointment
Contact Us
Ready to Schedule an Appointment?
Book Online
Have Questions? Contact Us:
Required Field
Your Name:
Phone:
Email:
Are you a new patient?:
Are you a?
New Patient
Current Patient
How would you like us to contact you?
Please choose
Email
Call
How did you hear about us?
Please choose
I'm an existing patient
Google/Bing
Mailer
Word of mouth
Social media
Other
Who Referred You?:
Appointment Preferences
Monday
Tuesday
Wednesday
Thursday
Your Message:
This site is protected by reCAPTCHA and the Google
Privacy Policy
and
Terms of Service
apply.
Sending...
×
This Patient's Experience
Loading Testimonial...
Loading Case...